Les fractures du scaphoïde sont très fréquentes et souvent méconnues. Elles doivent parfois être opérées rapidement pour obtenir la consolidation.
Les fractures du scaphoïde passent souvent inaperçu.
Les fractures du scaphoïde survienne typiquement chez des hommes jeunes, lors des activités sportives. La douleur est tolérable et la fracture peut passer inaperçue.
Il est indispensable de faire des radiographies. Si la douleur persiste après plusieurs jours et même si les radiographies sont normales, un scanner est indispensable pour diagnostiquer la fracture et préciser si la fracture est déplacée ou non.
Fractures non déplacées du corps du scaphoïde
Ces fractures non déplacées peuvent être traitées de deux façons :
- soit orthopédiquement c’est à dire par une simple immobilisation sans chirurgie
C’est la technique traditionnelle. C’est celle qui entraîne le moins de risque de complications. L’immobilisation doit être conservée en permanence jusqu’à consolidation ce qui nécessite un arrêt de travail prolongé. - soit par vissage à foyer fermé c’est à mise en place d’une vis à l’intérieur du scaphoïde, au bloc opératoire sous contrôle radiologique.
L’intervention est réalisée sous anesthésie locale, en ambulatoire.
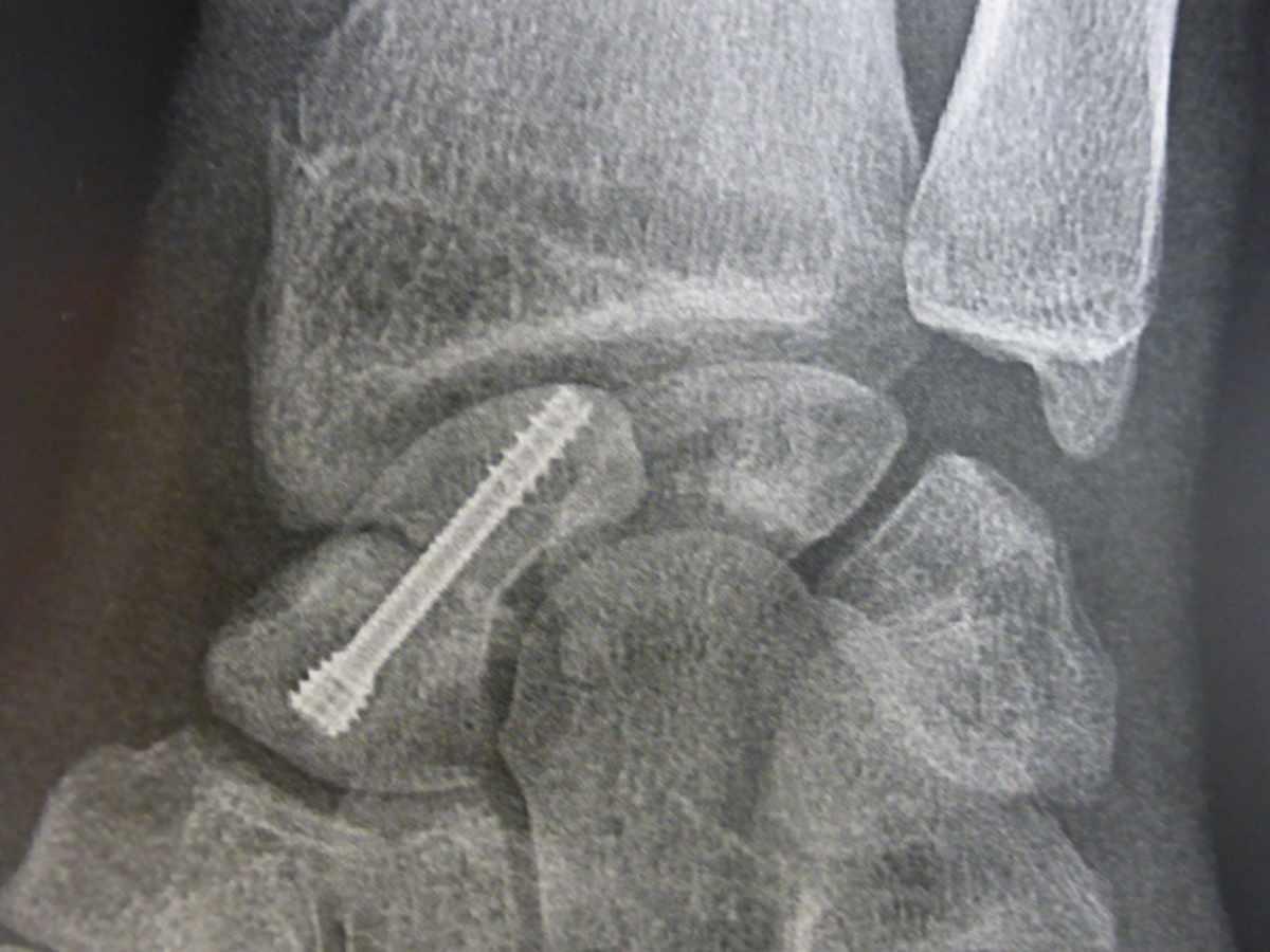
La vis est introduite à travers la peau par une très petite incision .

La vis est introduite par une toute petite incision. La position de la vis est contrôlée par des radiographies pendant l’intervention.
Une revue récente de toutes les publications entre 1974 et 2015 [Alnaeem,2016] montre un net avantage à la technique de vissage comme le montre le tableau ci-dessous.
| Durée d’arrêt de travail | Temps de consolidation osseuse | Complications | |
| Immobilisation | 77 jours | 79 jours | 7% |
| Vissage | 46 jours | 44 jours | 14% |
La différence de fréquence des complications n’est pas statistiquement significative. Les complications du vissage sont essentiellement dues à une malposition de la vis.
Fractures déplacées du corps du scaphoïde
Ces fractures doivent replacées en position anatomique, c’est ce qu’on appelle la « réduction » de la fracture. Il s’agit toujours d’une intervention chirurgicale. La qualité de la réduction peut s’effectuer par contrôle radiologique, sous arthroscopie ou à l’œil nu après ouverture de l’articulation.
Une fois réduite, la fracture est toujours stabilisée par une vis ou des broches mise en place au bloc opératoire.
Fractures du pôle proximal du scaphoïde
Ces fractures sont particulières car le pôle proximal du scaphoïde est la partie du scaphoïde qui consolide le plus difficilement. Il est maintenant admis que ces fractures doivent toujours être fixées chirurgicalement, même si elles ne sont pas déplacées. On utilise habituellement une ou deux vis.
Malgré une bonne fixation le taux de non consolidation n’est pas de 100 % et justifie une immobilisation prolongée.
Fractures du pôle distal du scaphoïde
A ce niveau le scaphoïde consolide habituellement par un traitement orthopédique. Les indications chirurgicales sont très rares.
Fractures-luxation du scaphoïde
Références
– A Systematic Review and Meta-Analysis Examining the Differences Between Nonsurgical Management and Percutaneous Fixation of Minimally and Nondisplaced Scaphoid Fractures .
H Alnaeem,* S Aldekhayel, J Kanevsky,* O FNeel. J Hand Surg Am. 2016




