L’ostéochondrite disséquante est une pathologie rare touchant essentiellement les jeunes gymnastes.
Qu’est-ce que l’ostéochondrite disséquante?
L’ostéochondrite disséquante est une maladie de l’os qui touche essentiellement le genou et plus rarement le coude et qui survient chez les adolescents. Il s’agit d’une trouble localisé de la vascularisation de l’os qui évolue vers la nécrose osseuse.
Diagnostic de l’ostéochondrite disséquante
Il s’agit de jeunes sportifs qui sont gênés par des douleurs du coude avec parfois des crépitements et un déficit d’extension. Les douleurs évoluent souvent vers l’arrêt du sport et peuvent aboutir à l’arthrose du coude à long terme.
Les radiographies font le diagnostic en montrant un « trou » dans l’os, presque toujours au même endroit, à l’extrémité de l’humérus en regard de la cupule radiale.
L’IRM, l’arthroscanner et l’arthroscopie permettent de faire complètent le bilan avant de proposer un traitement.
Evolution de l’ostéochondrite disséquante
On classe habituellement les lésions en « stables » ou « instables ». A un stade évolué, un ou plusieurs fragments articulaires se détachent et bougent librement dans l’articulation ce qui provoque des blocages articulaires intermittents.
Le traitement est encore l’objet de controverses mais on peut retenir le schema suivant Takahara :
Classification arthroscopie de la société internationale de réparation du cartilage
| Stade | Aspect sous arthroscopie | Stabilité |
|---|---|---|
| Stade 1 | Cartilage ramolli mais continu | Stable |
| Stade 2 | La lésion est partiellement séparée du cartilage normal, mais stable | Stable |
| Stade 3 | La séparation est nette tout autour de la lésion | Instable |
| Stade 4 | Le fragment est mobile ou libre dans l’articulation | Instable |
Quel est le traitement de l’ostéochondrite disséquante?
Au début, le repos et l’arrêt du sport sont toujours prescrits. Les fragments stables sont rarement opérés mais il faut les surveiller. A ce stade on peut augmenter la vascularisation osseuse en réalisant des perforations sous arthroscopie. Traitée à ce stade, le pronostic est très bon et la plupart des adolescents retrouvent une articulation normale après 6 à 12 mois.
Les fragments instables mais encore en place peuvent être fixés par des vis avant de se libérer dans l’articulation. La fixation n’est pas toujours possible à cause de la taille du fragment ou de la mauvaise tenue de la vis dans le fragment.
Les fragments très instables ou libres peuvent être remplacés par des greffes d’os et de cartilage. Ces greffes proviennent soit du genou ou d’une côte du patient lui-même, soit d’un os humain conservé.
Lorsque le fragment est petit on peut se contenter d’un avivement de l’os dépourvu de cartilage ce qui produit une surface fibreuse imitant le cartilage.

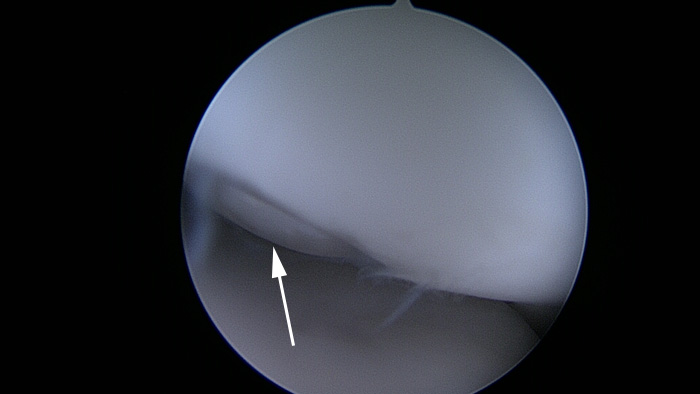
La flèche indique l’emplacement d’un fragment qui s’est libéré.
La zone malade a cicatrisé, produisant une revêtement cicatriciel qui ressemble à du cartilage.
Les corps libres articulaires sont enlevés sous arthroscopie

Ce fragment libre dans le coude provient d’une ostéochondrite.
Il est facilement enlevé sous arthroscopie.
Reférences
- Bauer M, Jonsson K, Josefsson PO, Linden B. Osteochondritis dissecans of the elbow. A long-term follow-up study. Clin Orthop Relat Res 1992;156-60.
- Raffy Mirzayan, MDa,*, Michael J. Lim, MDb. Fresh osteochondral allograft transplantation for osteochondritis dissecans of the capitellum in baseball players. J Shoulder Elbow Surg (2016) 25, 1839–1847
- Takahara M, Mura N, Sasaki J, Harada M, Ogino T. Classification, treatment, and outcome of osteochondritis dissecans of the humeral capitellum. Surgical technique. J Bone Joint Surg Am 2008;90(Suppl 2 Pt 1):47-62.
- International Cartilage Repair Society. ICRS cartilage injury evaluation package <http://cartilage.org/wp-content/uploads/2014/10/ICRS _evaluation.pdf>; 2000 [accessed 15.02.16].
- Itsubo T, Murakami N, Uemura K, Nakamura K, Hayashi M, Uchiyama S, et al. Magnetic resonance imaging staging to evaluate the stability of capitellar osteochondritis dissecans lesions. Am J Sports Med 2014;42:1972-7.
Dernière mise à jour le 19 novembre 2016

